Aim: A novel method in the management of a child with LQTS with Torsades de pointes electrical storm.
Methods and Results:
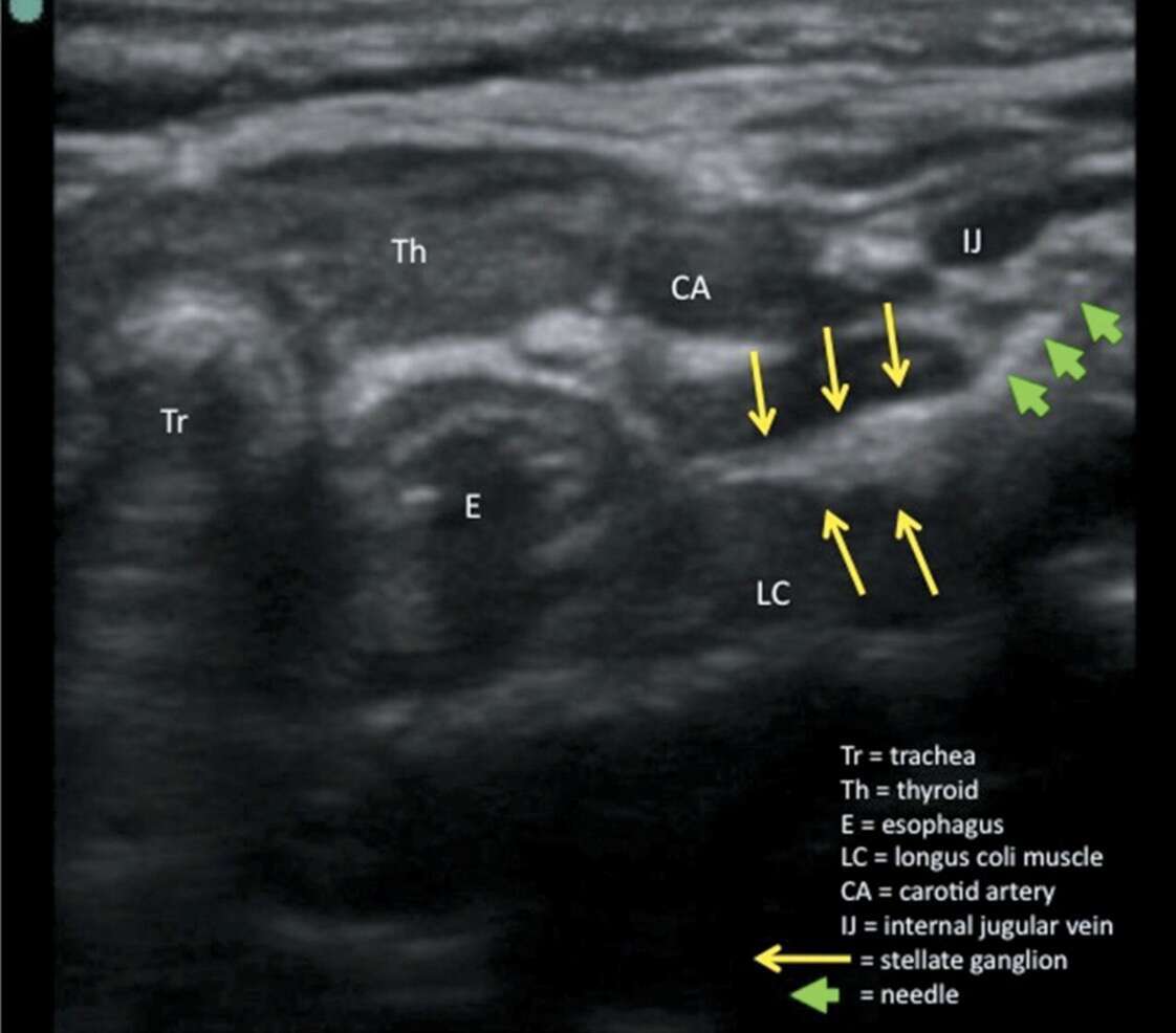
-At this stage it was decided to do stellate ganglion block to tide over the unrelenting VT storm.
-Initially Left stellate ganglion block with 10 ml of 0.25% bupivacaine under ultrasound guidance was done and there was substantial decrease in the VT episodes.
-DC shock requirement decreased to 4-6/12 hours.
-Subsequently successful Right stellate ganglion block was done with 10 ml of 0.25% bupivacaine under ultrasound guidance.
-There was complete cessation of the VT episodes and patient became asymptomatic.
-On further evaluation the child was found to have LQTS and on screening the family members the parents as well as elder sister was also found to have LQTS.
-The child was advised ICD implantation and subsequently discharged with beta blocker drug and advised against physical exertion and so were the other family members as well.
Conclusions:




