
Problem Statement
Posterior reversible encephalopathy syndrome (PRES) is an obstetric emergency that has been discovered in a handful of puerperal women with eclampsia. This clinical-neurologic entity has a characteristic imaging finding of vasogenic edema at the bilateral parietal and occipital lobes. It is postulated that PRES occurs secondary to failure of autoregulation in acute changes in blood pressure. However, the global burden of PRES associated with eclampsia is unknown. This is the first reported case in the Philippines. This report aims to share our experience, highlight the importance of prompt diagnosis and treatment, and establish patient education about the prodromal symptoms of postpartum eclampsia.
Methods
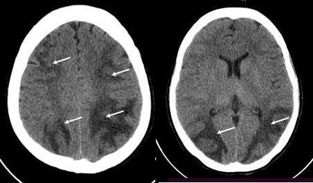
We present a 24-year-old G1P1 (1001) postpartum Day 11, who was admitted for seizures. On her 10th postpartum day, the patient suddenly developed severe occipital headache, nape pain, and diplopia. Within 6 hours, she experienced a 1-minute generalized tonic-clonic seizure and loss of consciousness. At the ER, her blood pressure was 190/110 mm Hg while the rest of her vital signs were within normal limits. A second episode of tonic-clonic seizure associated with diplopia and loss of consciousness resolved after administering diazepam 5mg intravenously. Initial evaluation showed eclampsia, diplopia and proteinuria. Magnesium sulfate infusion was given. An electroencephalogram obtained 24 hours post-ictal was normal. Unenhanced cranial computerized tomographic (CT), which was performed on Day 2 post-ictal, showed confluent, fairly symmetrical, bilateral white matter hypodensities involving the white matter of the bilateral frontal, parietal, and occipital lobes consistent with PRES (Figure 1). No evidence of intracranial lesions nor infarct was appreciated.
Results
All neurological symptoms resolved within three days once the blood pressure was controlled. A follow-up unenhanced CT scan was performed on Day 39 post-ictal, and showed non-delineation of the previously reported bilateral parietal and occipital lobe white matter hypodensities.
Conclusion
PRES generally has a good prognosis but can be fatal. This case report stresses the attention on this rare complication of eclampsia as management requires early diagnosis and prompt treatment.

Figure 1. Unenhanced cranial CT 48 hours post-ictal show confluent, symmetrical, bilateral white matter hypodensities involving the bilateral frontal, parietal, and occipital lobes (arrows).