
Problem statement:
Placenta accreta spectrum (PAS) disorder is a complication of pregnancy commonly diagnosed during the second trimester. First trimester detection of placenta accreta is rare and challenging, and a consensus on its diagnostic criteria is lacking. Placenta accreta in the first trimester, when left undetected, may lead to obstetrical hemorrhage that may necessitate hysterectomy.
Method and Results:
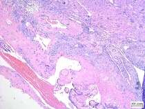
This is a case report of a 35-year-old G2P0 (0020) who presented with persistent vaginal bleeding after completion curettage for an incomplete abortion. Transvaginal sonography showed an endometrial echogenic mass with cystic spaces with abundant color flow, and beta‐human chorionic gonadotropin had decreasing trends. Assessment was postpartum hemorrhage secondary to retained secundines and multiple myoma uteri. On hysteroscopic resection of the retained secundines, profuse bleeding led to hemorrhagic shock. Hence, hysterectomy was performed. Histopathology showed placenta accreta.
Conclusion:
Persistent bleeding post-completion curettage and increased vascularity on ultrasound should lead to a high suspicion of placenta accreta in the first trimester. This case highlights the possibility of placenta accreta in the first trimester and the need for a diagnostic consensus for its detection. Prompt diagnosis is essential for timely intervention and proper patient counseling, including the possibility of hysterectomy if all other conservative methods fail.
